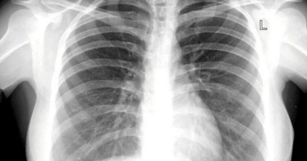
NEWS | Tubercolosi, aumentano i casi: il Lazio tra le regioni più colpite
Il Ministero della Salute ha pubblicato il report epidemiologico sulla tubercolosi ed è emerso che i casi stanno aumentando, la situazione non è allarmante ma da tenere sotto controllo. L’Italia resta è un paese a bassa endemia...> TUBERCOLOSI <
